Differential Quik III Stain Kit
Product Number:
-
26419
Product Description
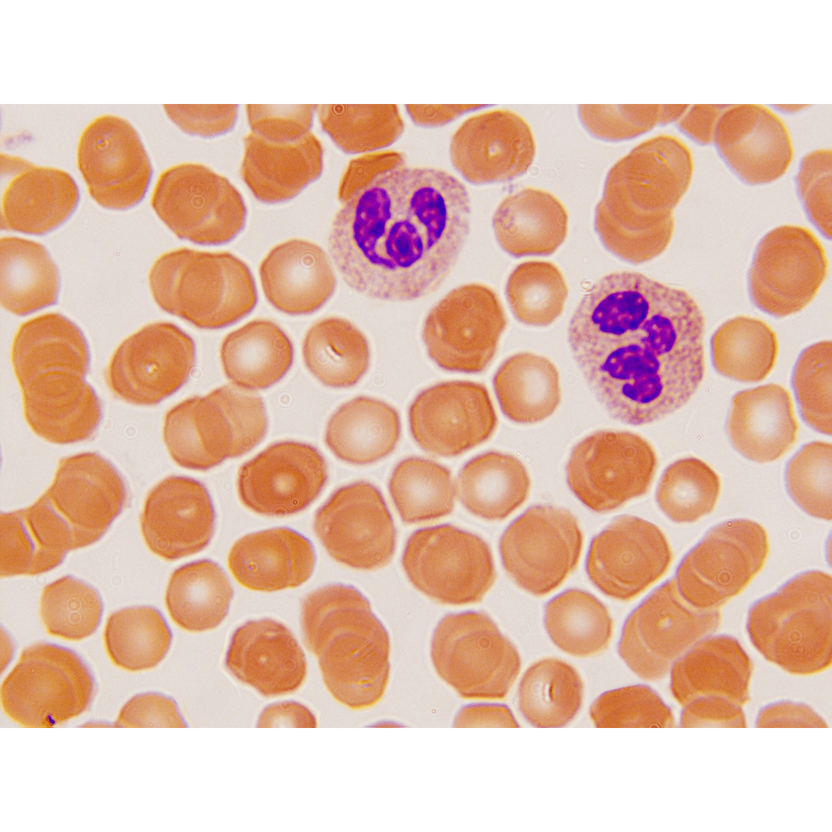
Differential Quik III Stain Kit is similar to the easy to use Differential Quik Stain Kit but with an improved staining quality. It serves as a rapid turnaround staining kit that satisfies many purposes in the cost conscious laboratory environment.Differential Quik III Stain Kit provides a rapid hematology staining system utilizing three prepared solutions. The essential eosin and thiazine staining solutions are manufactured using certified dyes and quality controlled tested on human blood smears. The convenient 15 second slide dip procedure results in stained smears comparable to Wright-Giemsa protocols. Additionally, Differential Quik III has been formulated to provide superior results when used as an Andrology stain. Users will be pleased with the differentiation of immature sperm and white blood cells and the excellent resolution achieved in the staining of the head, neck and tail piece.Furthermore, the stain is very useful to pathologists for immediate interpretation of fine needle aspiration biopsies and detecting H. pylori microorganisms has never been easier. Staining times may be altered to vary the eosinophilic or basophilic staining as desired.Applications
Blood Smears
Sperm
Fine Needle Aspirations
Frozen Sections
Cytological Specimens
Cytopreps
Bone Marrow Biopsies
Touch Preps
Microorganism Detection
Key Features
15 second slide dip procedure
Comparable to Wright-Giemsa results
Quick and easy staining instructions
Exceptional stain quality and differentiation
Consistent and reliable result
Kit Components: Differential Quik III FixativeDifferential Quik III Stain, Solution IDifferential Quik III Stain, Solution II

