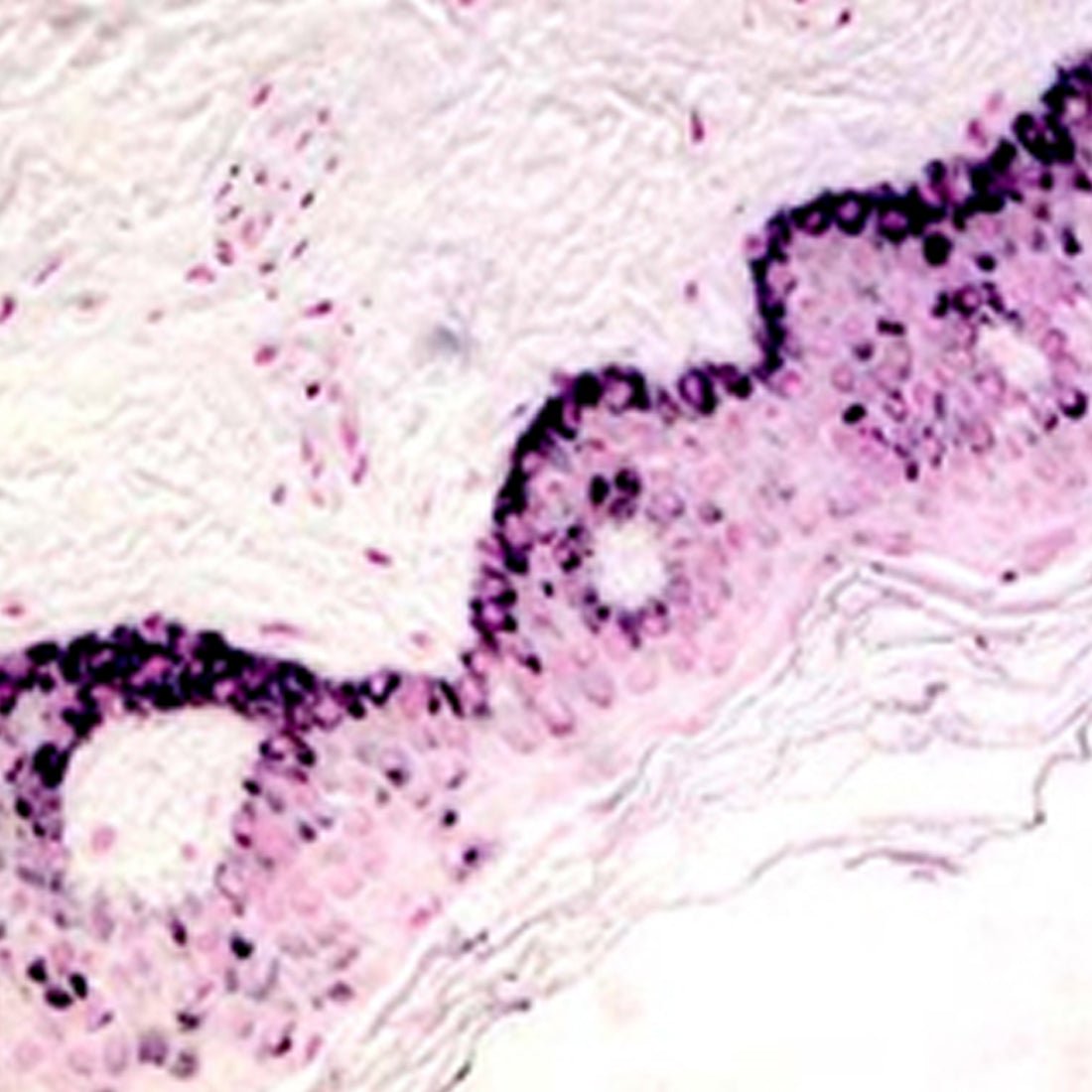
Fontana Masson Stain Kit
Product Number:
-
25104
Product Description
A silver stain intended for use in histological visualization of argentaffin cells and melanin. Our Fontana Masson Stain Kit provides a protocol for conventional or microwave staining. Both procedures yield exceptional results with the microwave option saving valuable time. Argentaffin granules are found in carcinoid tumors and therefore histological visualization can be valuable for diagnosis.
Stains up to 200 slides
Kit Contains:
- 500ml - 10% Silver Nitrate
- 500ml - 0.1% Gold Chloride
- 100ml - Ammonium Hydroxide, 28-30%
- 500ml - Nuclear Fast Red
- 500ml - 5% Sodium Thiosulfate
Results:
- Argentaffin Cells- Black
- Melanin- Black
- Nuclei- Pink

