Grocott Methenamine Silver Stain (GMS) for Fungus & PCP - Room Temperature & Microwave Kit
Product Number:
-
25087
Product Description
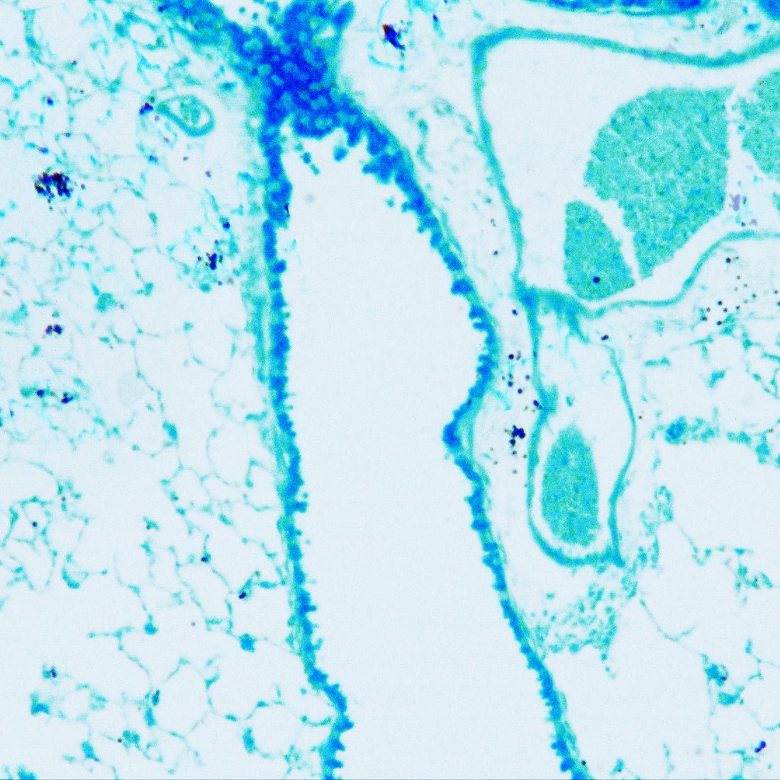
GMS is used for the identification of Pneumocystis jirovecii and fungal organisms in tissue sections. This popular silver stain is ideal for use on tissue, aspirates and smears.
Staining protocol available for both conventional room temperature method and convenient time saving microwave method.
Kit stains up to 40 slides
Kit Components:
- 3.8% Chromium trioxide aqueous solution (100.0 ml)
- 1% Sodium bisulfite aqueous solution (100.0 ml)
- 5% Silver nitrate aqueous solution (9.0 ml)
- Methenamine solution (180.0 ml)
- 5% Borax aqueous solution (50.0 ml)
- 0.2% Gold chloride aqueous solution (100.0 ml)
- 2% Sodium thiosulfite aqueous solution (100.0 ml)
- 0.5% Light Green stock solution (20.0 ml)
Results
- Fungi, Pneumocystis carnii, histoplasma spp- black
- Inner parts of mycelia and hyphae - rose
- Leishmania spp, toxoplasma spp - negative
- Mucin - dark grey
- Background - pale green

