Super Decalcifier II: Heavy Duty
Product Number:
-
24887
Product Description
Designed for safe, longer term decalcification of hard compact bone, femoral heads, above and below the knee amputations.
Save Time - Decalcify in as little as 3 hours!
Ready-to-use decalcifier for human and animal tissues
Enhanced nuclear detail
Environmentally safe and biodegradable
Extremely effective and versatile decalcifier that can be used in specific lab routines. As with most acids, nuclei acids in the cell can become subject to ribonuclease digestion, resulting in a loss of basophilic properties.
Careful monitoring should be used with Super Decalcifier II - Heavy Duty to avoid over decalcification. Most decalcification occurs in approximately 4 - 6 hours or less, depending on the thickness and density of the specimens. Overnight decalcification should be avoided.
Super Decalcifier II - Heavy Duty is not recommended for IHC.
Reducing temperature of the decalcifying solution to approximately 20 degrees centigrade will promote histochemical staining in procedures such as H & E, Masson's, Van Gieson's and Azure-Eosin.
Rinse specimens thoroughly in running tap water after decalcification. Do not mix with formalin and avoid contact with metal forceps and metal surfaces. Wear gloves and protective clothing during decalcification procedures. Perform procedures under a fume hood.
Store specimen in 70% ethyl alcohol until ready to process.
Bone Sample
Suggested Time
Bone Marrow Biopsies
15 – 30 Minutes
Small Cancellous Bone
2 – 4 Hours
Femur Wedge
3 – 5 Hours
Mature Bone (1 cm)
4 – 6 Hours
Whole Femur or Teeth
Overnight
Photos:
Bottlenose Dolphin calf teeth, with Super Decalcifier II - Heavy Duty & stained with Methylene Blue. Courtesy of Rachel Neuenhoff and Christopher D. Marshall, Ph.D., Department of Marine Biology, Texas A&M University, Galveston, TX
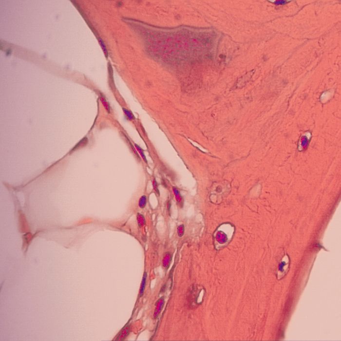
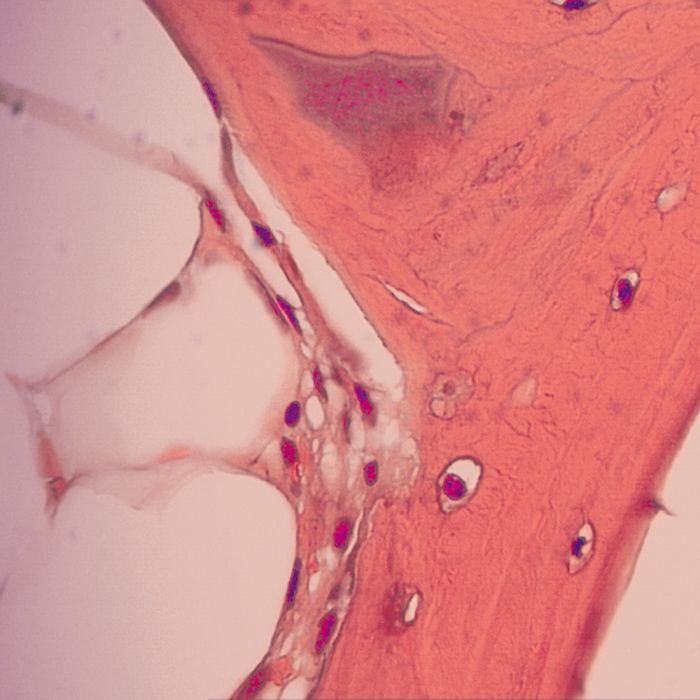
Human Degenerative Joint Disease, decalcified with Super Decalcifier II - Heavy Duty & stained with H & E, 40X

